Services
Advanced cardiac diagnostics for dogs and cats—including echocardiography, ECG, and specialized heart testing—delivered with modern technology and a compassionate touch. Available at Tandem Vet Somerville Clinic.


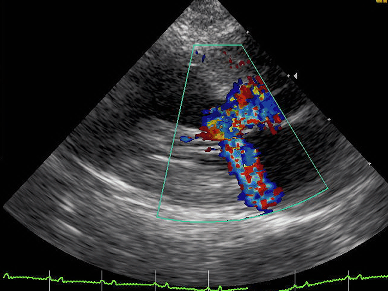
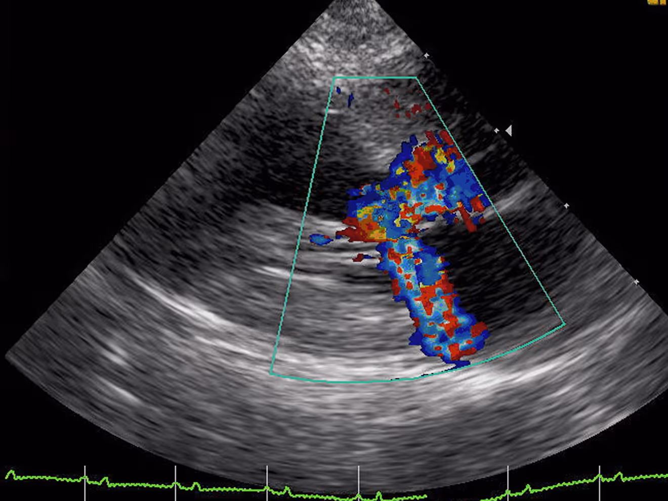
Accurate heart testing helps your veterinary team understand what’s happening inside your dog’s or cat’s heart so they can recommend the right care. At Tandem Vet Somerville Clinic, we use advanced diagnostic tools to evaluate heart structure, rhythm, and overall function with clarity and precision.
A cardiac workup may include echocardiography, electrocardiogram, digital radiographs, lab work, and blood pressure monitoring. These tests help identify the cause of heart murmurs, detect arrhythmias, assess fluid around the heart or lungs, and determine the stage of heart disease.
Why should my pet see a Cardiology Specialist?
A cardiology evaluation allows us to better understand your pet’s heart health and guide care decisions that prioritize comfort and quality of life. Our goal is not necessarily to extend life at all costs, but to help your pet feel their best; now and in the future.
All diagnostic images and test results are reviewed and interpreted by a residency-trained veterinary cardiology specialist, ensuring expert evaluation and thoughtful recommendations.
In some cases, yes. Light sedation may be recommended to reduce stress and allow for a calm, thorough examination. This helps us obtain accurate results while keeping your pet comfortable.
Every treatment plan is tailored to your pet’s individual condition and needs. Depending on the diagnosis, recommendations may include:
- Ongoing monitoring
- Medications to support heart health
- Procedures such as removing fluid from the chest, when appropriate
We’ll review all findings with you and discuss care options so you can make informed decisions that align with your goals for your pet.
At Tandem Vet Somerville Clinic, we offer advanced cardiac diagnostics to help identify heart murmurs, evaluate clinical signs, and support breed-specific or pre-anesthetic screening. Our team uses tools such as echocardiography, ECG, digital radiographs, lab work, and blood pressure monitoring to clearly assess your pet’s heart health.
After testing, we review the results with you and outline the most appropriate next steps, ensuring your dog or cat receives informed, compassionate care.